Measures to Prevent Klatskin Tumor
Klatskin tumor, also known as bile duct cancer or cholangiocarcinoma, is a rare and aggressive cancer that originates in the bile ducts, often where the right and left hepatic bile ducts meet. It is classified as a type of cancer that is difficult to diagnose in its early stages, and its prevention has been a subject of much research. Although there is no surefire way to completely prevent Klatskin tumors, certain lifestyle changes, medical interventions, and early detection strategies can significantly reduce the risk and increase the chances of a favorable outcome.
In this article, we will explore the various preventive measures for Klatskin tumors, focusing on factors such as risk factor modification, lifestyle adjustments, and medical treatments aimed at reducing the incidence of bile duct cancers.
Understanding Klatskin Tumor: A Brief Overview
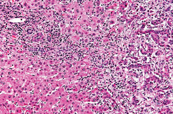
Before delving into the preventive measures, it is essential to understand the nature of Klatskin tumors. These tumors arise from the bile ducts, which are the vessels that transport bile from the liver to the small intestine. The bile ducts can be found inside the liver (intrahepatic) or outside the liver (extrahepatic), and Klatskin tumors typically occur at the junction of the left and right bile ducts where they meet to form the common bile duct.
Klatskin tumors account for about 10-20% of all cholangiocarcinoma cases, which is a rare type of cancer. Due to their location, these tumors can be difficult to treat and are often diagnosed at later stages, which complicates treatment options and significantly affects the prognosis.
Risk Factors for Klatskin Tumor
Understanding the risk factors associated with Klatskin tumors is crucial to identify potential preventive measures. Some of the key risk factors include:

- Chronic Liver Diseases
- Chronic diseases such as cirrhosis and hepatitis B or C are linked to an increased risk of bile duct cancer, including Klatskin tumors. These conditions can cause chronic inflammation of the bile ducts, increasing the likelihood of cancerous changes.
- Primary Sclerosing Cholangitis (PSC)
- PSC is an autoimmune disease that leads to inflammation and scarring of the bile ducts. This condition significantly increases the risk of Klatskin tumor, with patients suffering from PSC having a much higher chance of developing bile duct cancer.
- Age and Gender
- Klatskin tumors are more common in individuals over the age of 50, and they tend to be more prevalent in men than in women.
- Exposure to Chemicals and Environmental Toxins
- Long-term exposure to certain chemicals, such as those found in pesticides and industrial solvents, has been associated with an increased risk of bile duct cancers, including Klatskin tumors.
- Gallstones and Biliary Infections
- Chronic infection of the bile ducts or the presence of gallstones can lead to inflammation and irritation, which increases the chances of developing bile duct cancer.
- Family History of Cancer
- A family history of bile duct cancer or other related cancers can increase an individual’s risk, suggesting a genetic predisposition in some cases.
Preventive Measures for Klatskin Tumor
Although there is no definitive method to prevent Klatskin tumors, there are several lifestyle changes, medical treatments, and early detection strategies that can help reduce the risk. These measures focus on managing the known risk factors and improving general health to lower the chances of developing bile duct cancer.
1. Lifestyle Modifications
a. Healthy Diet and Weight Management
A well-balanced diet is one of the most effective ways to maintain overall health and reduce the risk of various cancers, including Klatskin tumors. A diet rich in fruits, vegetables, whole grains, and lean proteins, while low in processed foods and red meats, can help reduce inflammation and oxidative stress in the body.
- Foods to Include: Fiber-rich foods (vegetables, fruits, and whole grains), antioxidants (berries, nuts, and leafy greens), and anti-inflammatory foods (olive oil, turmeric, and garlic).
- Foods to Avoid: Processed meats, trans fats, and excessive alcohol.
Maintaining a healthy weight through regular physical activity also helps reduce the risk of chronic conditions like cirrhosis and gallstones, both of which are risk factors for bile duct cancer.
b. Regular Exercise
Exercise plays a key role in preventing a variety of cancers by improving the immune system and reducing inflammation. Regular physical activity helps maintain a healthy weight, reduces the risk of metabolic diseases such as diabetes, and lowers the risk of conditions that could predispose someone to bile duct cancer.
c. Limiting Alcohol Consumption
Excessive alcohol consumption is a major risk factor for liver disease, which in turn increases the risk of Klatskin tumors. Moderation is essential when it comes to alcohol, and limiting intake to no more than one drink per day for women and two drinks per day for men is advised to protect the liver and lower cancer risks.
2. Medical Interventions and Monitoring
a. Regular Screening for High-Risk Individuals
For individuals with conditions like Primary Sclerosing Cholangitis (PSC) or chronic liver disease, regular screening is important. Early detection of any abnormal growth or changes in the bile ducts can lead to better treatment outcomes. The following methods may be used for monitoring at-risk individuals:

- Ultrasound: A non-invasive imaging technique that can detect abnormalities in the liver and bile ducts.
- Magnetic Resonance Cholangiopancreatography (MRCP): A specialized MRI technique that provides detailed images of the bile ducts.
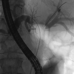
- Endoscopic Retrograde Cholangiopancreatography (ERCP): A procedure that uses a camera to examine the bile ducts and take tissue samples for testing.
b. Vaccination Against Hepatitis B
Hepatitis B is a significant risk factor for liver disease and bile duct cancers. Vaccination against hepatitis B, especially for those at higher risk of exposure, can help prevent chronic infection and its complications, including cirrhosis and bile duct cancer.
c. Early Treatment of Biliary Infections and Gallstones
Gallstones and chronic bile duct infections can increase the likelihood of bile duct cancers, including Klatskin tumors. Prompt treatment of gallstones and biliary infections with medication or surgical intervention can reduce the long-term risk of developing bile duct cancer.
3. Environmental and Occupational Safety
a. Reducing Exposure to Toxins
Minimizing exposure to harmful chemicals, including those found in the agricultural, industrial, and petroleum industries, is important in reducing the risk of bile duct cancers. Workers in high-risk industries should wear appropriate protective equipment and follow safety protocols to limit exposure to carcinogens.
b. Environmental Cleanliness
Maintaining a clean environment free from pollutants can contribute to overall health and reduce the potential risks of cancer. Communities should advocate for stronger environmental regulations to limit exposure to toxins that can lead to cancer.
4. Genetic Counseling and Family History Monitoring
Individuals with a family history of bile duct cancer or other related cancers should consider genetic counseling. In some cases, genetic mutations or predispositions may increase the risk of developing Klatskin tumors, and early genetic screening can help identify these risks. Family members can then be more closely monitored for early signs of bile duct cancer.
5. Psychological and Emotional Well-being
While not directly related to physical prevention, maintaining emotional and psychological health is important in reducing the risk of chronic diseases, including cancer. Stress management, mindfulness practices, and therapy can help individuals cope with health challenges and improve their overall well-being.
While Klatskin tumors remain a challenging and relatively rare form of cancer, preventive measures can significantly reduce the risk of their development. By focusing on lifestyle changes, regular medical screenings, proper management of chronic diseases, and reducing exposure to harmful substances, individuals can take proactive steps to protect themselves from this aggressive cancer. Additionally, ongoing research into the causes and prevention of Klatskin tumors continues to offer hope for future breakthroughs in treatment and prevention.
If you or someone you know is at risk for Klatskin tumors, it is important to work with healthcare professionals to develop a personalized prevention plan based on individual risk factors. Early detection and intervention can lead to better outcomes, and adopting a healthy lifestyle can significantly reduce the risk of developing this rare cancer.


